L’Albania è una destinazione sempre più popolare per il turismo dentale

I pazienti che scelgono l’Albania per i trattamenti dentali possono approfittare di un risparmio considerevole

Dentalsply Clinic

Turismo Dentale

Prenotazione di una Consulenza

  • Tutto comincia da una LASTRA Panoramica mandata dal paziente.Il nostro team è qui per assisterti in ogni fase del processo, dall’inizio alla fine

Viaggio in Albania

  • Viaggia con tranquillità: ci occupiamo di tuttoOrganizziamo il tuo viaggio in Albania, rendendo il processo il più semplice possibile. Da  Dentalply Clinic, ci preoccupiamo di garantire che il tuo soggiorno sia confortevole e senza stress

Trattamento: Cure dentali di alta qualità

  • Ricevi cure dentali personalizzate e all’avanguardia
  • Presso Dentalply Clinic, il trattamento viene eseguito da specialisti con oltre 20 anni di esperienza in campo dentale. Durante il tuo soggiorno, riceverai le cure più avanzate, in un ambiente moderno e accogliente.

Ritorno

  • Viaggia con tranquillità: ci occupiamo di tutto Organizziamo il tuo viaggio di ritorno, rendendo il processo il più semplice possibile

Assistenza continua anche dopo il tuo rientro

  • Il nostro impegno per la tua salute dentale non finisce con il tuo trattamento. Dopo il tuo ritorno in Italia, continuiamo a seguirti attraverso visite di controllo virtuali e follow-up dettagliati 

Impianti Dentali

Gli impianti dentali rappresentano una soluzione a lungo termine e altamente efficace per la sostituzione dei denti persi. La nostra clinica è orgogliosa di offrire servizi di implantologia di alta qualità a Tirana, Albania.

Corone Dentali

Le corone dentali sono un trattamento efficace per rafforzare e proteggere i denti danneggiati, migliorando allo stesso tempo l’aspetto del tuo sorriso.

Protesi Dentali

Le protesi dentali offrono una soluzione pratica e estetica per la perdita di uno o più denti.

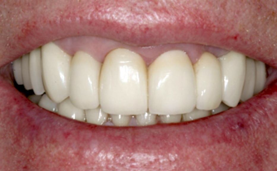
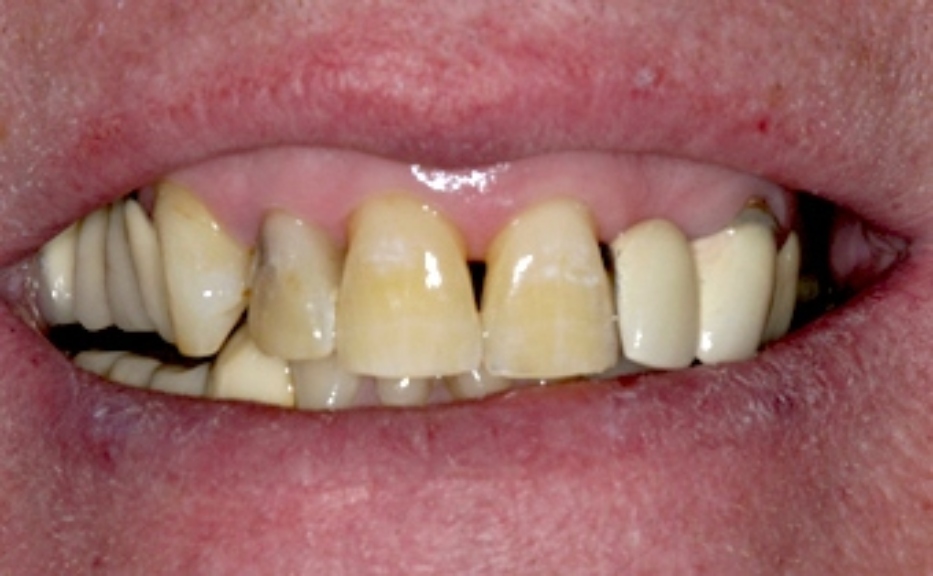
PRIMA – DOPO

Chirurgia Dentale

Ortodonzia

Odontoiatria Estetica

Supporto

JavaScript Animated scroll percentage | Webdevtrick.com
 
Fl